Type d'animal:
Chien
Race dominante:
Sexe:
Femelle
Né(e) le:
05/07/2016
Taille:
Moyen
Infos santé:
Stérilisé / Castré
Vacciné
Identifié
Pourquoi le parrainer:
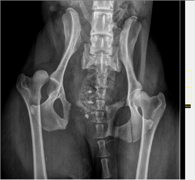
Mirka a été accidentée, fracture du bassin. Nous avons besoin de parrains pour financer son opération, ses radios et soins. merci de cliquer sur je parraine
adoptée
MIRKA, écrasée par un tracteur, est arrivée complètement paralysée, souffrant le martyr chez le vétérinaire. Le propriétaire n'a pas souhaité la garder ni payer les frais vétérinaires. Elle est donc confiée aux bons soins de la spa sud alpine, nous n'avons pas pu nous résoudre, bien sûr à endormir cette gentille chienne de 3 ans. Mirka a été opérée et se remet tout doucement de son accident. Les frais sont toutefois très élevés et nous comptons sur la générosité des parrains.
Actuanimaux nous aide si vous voulez faire un don pour elle merci beaucoup je clique pour Mirka



